List 101+ Pictures allergic reaction to laundry detergent pictures Updated

List 101+ Pictures allergic reaction to laundry detergent pictures Updated

โ€”

by

in

List showcases captivating images of allergic reaction to laundry detergent pictures gathered and meticulously curated by the website galleryz.online. Furthermore, you can find more related images in the details below.

allergic reaction to laundry detergent pictures

List 101+ Pictures allergic reaction to laundry detergent pictures Updated
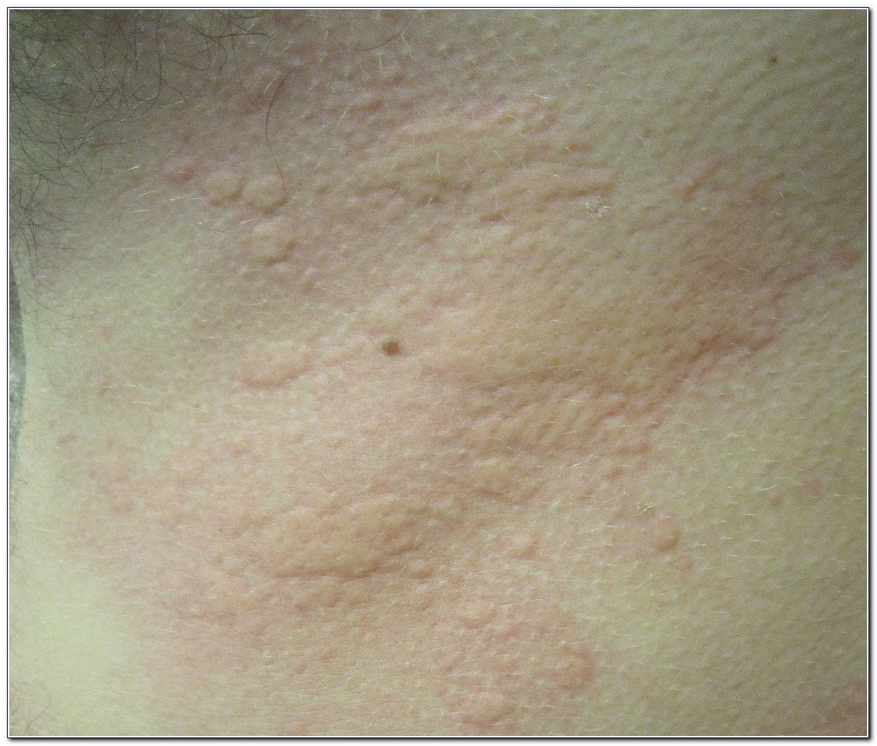
Category: Laundry Detergent Rashes – Kirkland Ultra Free And Clear Rash
My Image 2
Category: Laundry Detergent Rashes – Kirkland Ultra Free And Clear Rash
My Image 3
Some Pictures Of Laundry Detergent Rashes – ALL AROUND LAUNDRY
My Image 4
Some Pictures Of Laundry Detergent Rashes – ALL AROUND LAUNDRY
My Image 5
Everything to Know About a Laundry Detergent Allergy
My Image 6
How Long Does An Allergic Reaction to Laundry Detergent Last
My Image 7
Category: – Kirkland Ultra Free And Clear Rash
My Image 8
Category: – Kirkland Ultra Free And Clear Rash
My Image 9
Kirkland Ultra Free And Clear Rash – Kirkland Ultra Free And Clear Rash
My Image 10
Can Laundry Detergent Cause Hives? Understanding the Link and How to …
My Image 11
How to Spot and Avoid an Allergic Reaction to Laundry Detergent …
My Image 12
12 Best Laundry Detergents for Sensitive Skin | Reader’s Digest
My Image 13
LivePure Anti-Allergen Laundry Detergent
My Image 14
Understanding allergies from your laundry detergent
My Image 15
Allersearch Anti-Allergen Laundry Detergent | AllergyStore.com
My Image 16
Laundry Detergent for Eczema Allergies Top or Front Loader Washes 500ml …
My Image 17
The 12 Best Laundry Detergents For Sensitive Skin – 2023
My Image 18
LivePure Anti-Allergen Laundry Detergent
My Image 19
Anti Allergen Laundry Detergent | Hypoallergenic
My Image 20
Buy Allersearch Allergen Wash Laundry Detergent Online | Allergy Cosmos
My Image 21
Buy Allersearch Allergen Wash Laundry Detergent Online | Allergy Cosmos
My Image 22
9 Best Anti Allergy Laundry Detergent: Update 05-2023
My Image 23
Everything to Know About a Laundry Detergent Allergy | EnviroKlenz
My Image 24
Pin on Products I Love
My Image 25
15 Best Detergents for Skin Sensitivity and Allergies
My Image 26
Allersearch Allergen Wash | Anti-Allergen Laundry Detergent
My Image 27
Everything to Know About a Laundry Detergent Allergy
My Image 28
Allersearch Allergen Wash | Pest control, Laundry detergent, Wash
My Image 29
Ecology Works Anti-Allergen Laundry Detergent | AchooAllergy
My Image 30
Allergen Wash Laundry Detergent | Allergy Products | Allergy Cosmos
My Image 31
Ecology Works Anti-Allergen Laundry Detergent | AchooAllergy
My Image 32
Allersearch Anti-Allergen Laundry Detergent | AllergyStore.com
My Image 33
Best Cleaning Products For People With Allergies
My Image 34
Allergy Free Liquid Laundry Detergent 1 Gallon by Natural Choices …
My Image 35
Best Hypoallergenic Laundry Detergents for Asthma and Allergy Sufferers …
My Image 36
Arm And Hammer Oxiclean Detergent Allergy – Arm Designs
My Image 37
Allersearch Allergen Removing Landry Detergents and Additives
My Image 38
15 Best Detergents for Skin Sensitivity and Allergies
My Image 39
all Mighty Pacs Laundry Detergent Pacs, 56 Count, Free Clear Odor …
My Image 40
Anti-Allergen Laundry Detergent | LivePure
My Image 41
Baby Laundry Detergent Allergy – Baby Cloths
My Image 42
Allergic Reaction Rash – Pictures, Causes, Treatment, Symptoms
My Image 43
Soothing Eye Wash Irrigating Solution Sterile Allergies Cleanse 4 fl oz …
My Image 44
15 Best Detergents for Skin Sensitivity and Allergies
My Image 45
Mrs. Meyer’sยฎ Clean Day 68 Load Rosemary Laundry Detergent …
My Image 46
Can Laundry Detergent Cause Hives? Understanding the Link and How to …
My Image 47
Amazon.com: Persil ProClean Power-Caps 2-in-1 Laundry Detergent, Pouch …
My Image 48
Baby Laundry Detergent Allergy – Baby Cloths
My Image 49
Allergen Wash Laundry Detergent | Allergy Products | Allergy Cosmos
My Image 50
For The Love Of Natalee: Allergic to Snuggle Fabric Softener? Yep!
My Image 51
Easy Air Organic Allergy Relief Laundry Rinse Refill, 32oz. – Walmart …
My Image 52
Dust Mite & Bed Bug Anti-Allergen Detergent, 1 Gallon
My Image 53
Anti Allergen Laundry Detergent – All Natural, Eco-Friendly Personal …
My Image 54
Anti Allergen Laundry Detergent – All Natural, Eco-Friendly Personal …
My Image 55
Anti Allergen Laundry Detergent – All Natural, Eco-Friendly Personal …
My Image 56
Facebook
My Image 57
Arm & Hammer Clean Burst HE, Concentrated Liquid Laundry Detergent, 140 …
My Image 58
15 Best Detergents for Skin Sensitivity and Allergies
My Image 59
15 Best Detergents for Skin Sensitivity and Allergies
My Image 60
Everything to Know About a Laundry Detergent Allergy | EnviroKlenz
My Image 61
How Laundry Products Can Cause Skin Irritation – Coveteur
My Image 62
15 Best Detergents for Skin Sensitivity and Allergies
My Image 63
10 New All Natural Baby Laundry Detergent Review – loveisntluck
My Image 64
Household Essentials | Laundry detergent, Liquid laundry detergent …
My Image 65
What Are the Common Causes of a Rash with Pus? (with pictures)
My Image 66
Allergic Reaction Rash To Laundry Soap | Home Design Ideas
My Image 67
Attack Ultra Power Laundry Detergent | Laundry detergent, Soap …
My Image 68
The Best Laundry Detergents to Get Out the Grime | Safe laundry …
My Image 69
Allersearch Allergen Wash | Anti-Allergen Laundry Detergent
My Image 70
Mrs. Meyer’sยฎ Clean Day 64 Load Baby Blossom Laundry Detergent …
My Image 71
Can Laundry Detergent Cause Hives? Understanding the Link and How to …
My Image 72
ECOS 2 Packs Hypoallergenic Laundry Detergent Free & Clear 170oz …
My Image 73
Baby Laundry Detergent Allergy – Baby Cloths
My Image 74
Baby Laundry Detergent Allergy – Baby Cloths
My Image 75
Norwex Laundry Detergent | Fragrance samples, Fragrance, Perfume oils
My Image 76
Cold Urticaria – Pictures, Treatment, Symptoms, Causes
My Image 77
10 Best Hypoallergenic Laundry Detergents 2020 | Med Consumers
My Image 78
Poison in your Washing Machine: Allergic Contact Dermatitis from …
My Image 79
Arm And Hammer Oxiclean Detergent Allergy – Arm Designs
My Image 80
LivePure Anti-Allergen Laundry Detergent – AllergyZone
My Image 81
What are the Different Types of Natural Candida Treatments?
My Image 82
Hoover Anti-Allergen Carpet and Upholstery Cleaning Solution – Walmart …
My Image 83
Anti-Allergen Sprays & Detergents | LivePure
My Image 84
Ovante Dust Mite Allergens Eliminating Hypo-Allergic Laundry Additive …
My Image 85
15 Best Detergents for Skin Sensitivity and Allergies
My Image 86
My Personal Story Of Allergic Contact Dermatitis – Diagnosis And …
My Image 87
Soap Allergies Caused by Detergent? | Ingredients Matter
My Image 88
Arm And Hammer Oxiclean Detergent Allergy – Arm Designs
My Image 89
How to Get Rid of Allergens in Your Laundry | Allergens, Laundry, Hot water
My Image 90
Mrs. Meyer’sยฎ Clean Day 64 Load Basil Laundry Detergent | AllergyBuyersClub
My Image 91
Ecology Works Anti-Allergen Laundry Detergent | AchooAllergy
My Image 92
Laundry Detergent Allergy | Examatri Home Ideas
My Image 93
Best Hypoallergenic Laundry Detergents for Asthma and Allergy Sufferers …
My Image 94
The Best Anti Allergy Laundry Detergent – Home Previews
My Image 95
Arm & Hammer 50 oz. 2X HE Perfume & Dye Free Liquid Laundry Detergent …
My Image 96
The 11 Best Laundry Detergents for Sensitive Skin in 2021 | Laundry …
My Image 97
Have You Ever Experienced an Allergic Reaction to Dawn Dish Detergent …
My Image 98
The 11 Best Laundry Detergents for Sensitive Skin in 2021 | Sensitive …
My Image 99
The Best Anti Allergy Laundry Detergent – Home Previews
My Image 100
Reasons You Should Always Wash New Clothes Before You Wear Them
My Image 101
Home remedies for skin allergy | Home remedies for skin, Home remedies …

AN ALLERGIC REACTION TO START THE WEEK (8/28/23)
We extend our gratitude for your readership of the article about allergic reaction to laundry detergent pictures at galleryz.online. We encourage you to leave your feedback, and there’s a treasure trove of related articles waiting for you below. We hope they will be of interest and provide valuable information for you.

Posts: allergic reaction to laundry detergent pictures
Categories: Album
Author: galleryz.online