List showcases captivating images of pictures of perianal fistulas in dogs gathered and meticulously curated by the website galleryz.online . Furthermore, you can find more related images in the details below.
pictures of perianal fistulas in dogs
Perianal fistula | Image | Radiopaedia.org
Perianal Fistulas in Dogs: The Role of Diet – Dog Discoveries
Grade 1 perianal fistula; linear intersphincteric. Axial (A) and …
Transsphincteric perianal fistula – Body MR Case Studies – CTisus CT …
MRI of perianal fistulae: a pictorial kaleidoscope – Clinical Radiology
Veterinary and Travel Stories: 227. Oronasal fistula in a dog …
Transsphincteric perianal fistula – Body MR Case Studies – CTisus CT …
The perinal fistula passing intersphincterically upwards in close …
MRI of perianal fistulae: a pictorial kaleidoscope – Clinical Radiology
Figure 2 from Perianal Fistulas in Patients With Crohn’s Disease, Part …
The perinal fistula passing intersphincterically upwards in close …
Perineal Hernias – Metropolitan Veterinary Associates
Veterinary Oro Nasal Fistula in Chilliwack, BC | Little Mountain …
Fistulography. A visible fistula on the right side, connected with the …
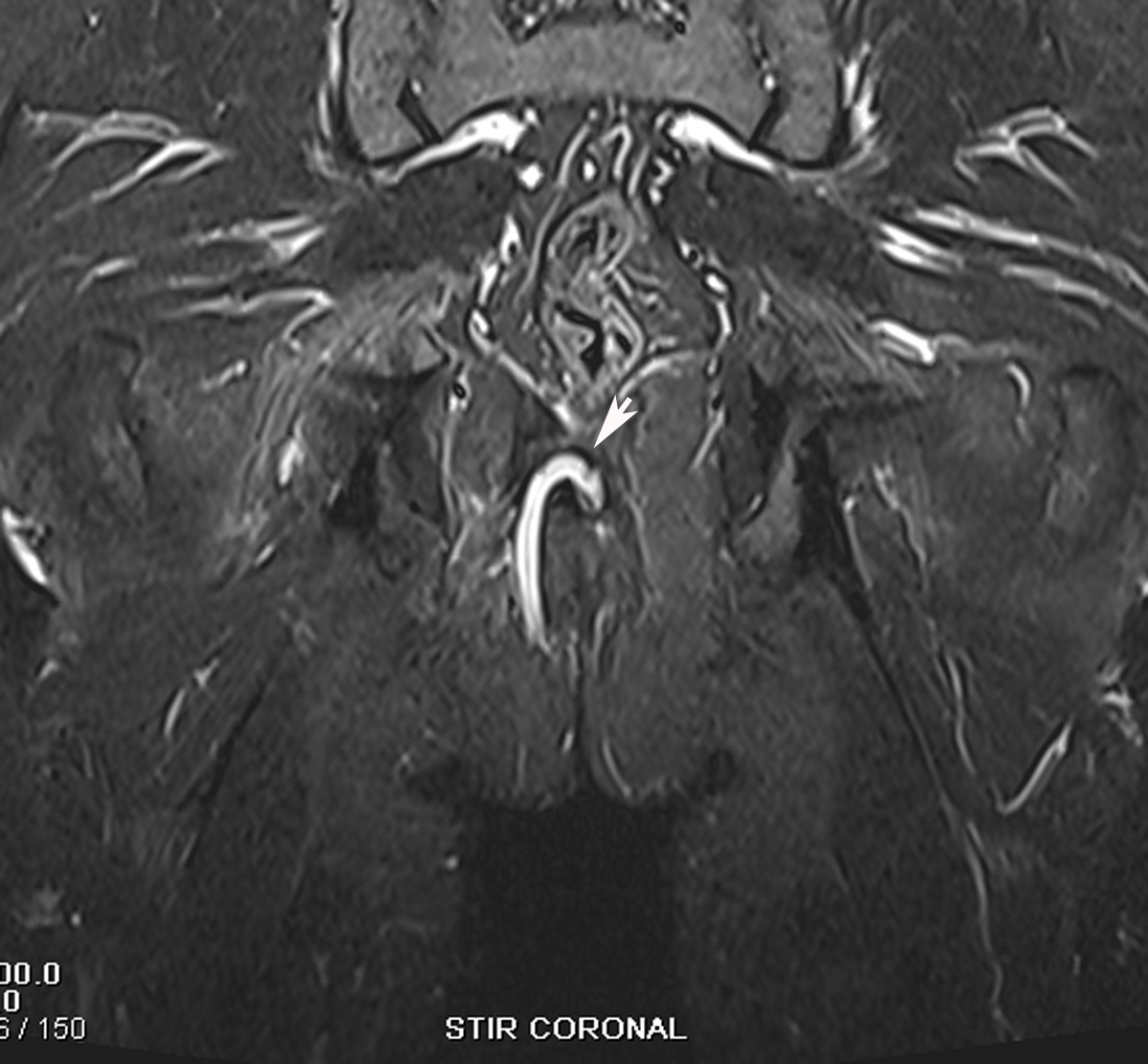
Perianal fistula – intersphincteric | Image | Radiopaedia.org
CT of acute perianal abscesses and infected fistulae: a pictorial essay …
Deep dermal and subcutaneous canine hemangiosarcoma in the perianal …
Transcutaneous perianal sonography: A sensitive method for the …
[PDF] MR imaging evaluation of perianal fistulas: spectrum of imaging …
Radiodiagnosis – Imaging is Amazing-Interesting cases: Perianal Fistula …
MR Imaging Classification of Perianal Fistulas and Its Implications for …
MR Imaging Classification of Perianal Fistulas and Its Implications for …
Grade 3 perianal fistula; transsphincteric fistula without an abscess …
Dokter Spesialis Fistula Ani | Dr. Eko Priatno. SpB-KBD
Perianal Fistulas in Patients With Crohn’s Disease, Part 1: Current …
Histopathological and immunohistochemical aspects of canine perianal …
Perianal fistula | Image | Radiopaedia.org
SciELO – Brasil – Radiographic diagnosis of traumatic urethrorectal …
Transsphincteric perianal fistula – Body MR Case Studies – CTisus CT …
Perianal Fistula | Body MRI
[PDF] MR imaging evaluation of perianal fistulas: spectrum of imaging …
| Perineal fistulotomy converting fistula to a third degree tear …
(PDF) An incidental case of perianal gland adenoma in a stray dog
Rectal Fistula: Symptoms, Diagnosis and Treatment – Healthsoul
MR Imaging of Perianal Fistulas – Radiologic Clinics
Pin on Dog stuff
Dog #4 after correction of rectovaginal fistula and atresia ani. (a …
(PDF) Les masses pรฉrianales chez le chien (Perianal masses in dogs)
Rectum, Anus, and Perineum | Veterian Key
VIN Clinical Q&A: How useful is topical tacrolimus in treating perianal …
Perirectal / Perianal Abscess – Gastrointestinal – Medbullets Step 2/3
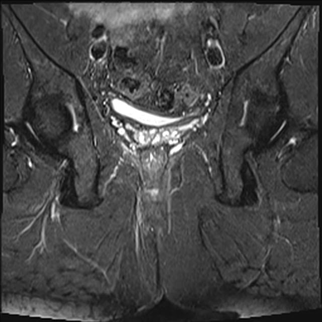
Perianal fistula – grade 4: transsphincteric | Radiology Case …
MR Imaging Evaluation of Perianal Fistulas: Spectrum of Imaging …
What Is A Perianal Tumors In Dogs
Alveolar-pleural fistula, causing spontaneous pneumothorax in a dog …
Perianal Fistula in Dogs – A Major Pain in the Butt!
Frontiers | Coccidioides posadasii in a Dog With Cervical Dissemination …
Imaging of Perianal Fistulas – Clinical Gastroenterology and Hepatology
Medical management of perianal fistula | Medication management, Medical …
MR Imaging Evaluation of Perianal Fistulas: Spectrum of Imaging …
Perianal fistula with supra-levatoric abscess | Radiology Case …
MR Imaging Evaluation of Perianal Fistulas: Spectrum of Imaging …
Transsphincteric perianal fistula – Body MR Case Studies – CTisus CT …
Perianal fistula: abscess | Image | Radiopaedia.org
Dealing with swollen anal glands in your dog – Doghealth
Perianal abscess CT – wikidoc
Boxplot for the ADC values between perianal fistulas and abscesses …
Perirectal / Perianal Abscess – Gastrointestinal – Medbullets Step 2/3
Table 1 from Cyclosporin treatment of perianal fistulas in dogs …
Diet for a Dog With Perianal Fistula
A. The grayscale image reveals a hypoechoic perianal fistula (arrow …
X ray image of perianal fistula โข wall stickers fistula, human, doctor …
Perianal fistula – inter-sphinceteric type | Radiology Case …
(PDF) Deep dermal and subcutaneous canine hemangiosarcoma in the …
Post-contrast transverse CT images of dogs with anal sac adenocarcinoma …
MR Imaging Evaluation of Perianal Fistulas: Spectrum of Imaging …
New Clinical Trial To Assess Long-Term Therapy Efficacy for Perianal …
Perirectal / Perianal Abscess – Gastrointestinal – Medbullets Step 2/3
Perianal fistula (grade I) | Image | Radiopaedia.org
Radiodiagnosis – Imaging is Amazing-Interesting cases: Perianal Fistula …
(PDF) Bilateral perineal hernia with urinary bladder retroflexion in a …
A young woman with recurrent perianal sepsis | The BMJ
MR Imaging of Perianal Fistulas – Radiologic Clinics
Crohn’s disease with low trans-sphincteric fistula with abscess and …
MR Imaging Evaluation of Perianal Fistulas: Spectrum of Imaging …
A high transsphincteric fistula with supralevator extension. | Download …
Endoscopic ultrasonography image of Crohn’s perianal fistula and …
Cureus | Diagnostic Accuracy of Short Tau Inversion Recovery as a …
Fistula Perianal En Perros – Perritos HC
Perianal fistula (grade IV) | Image | Radiopaedia.org
MR Imaging of Perianal Crohn Disease | Radiology
Perianal fistula: abscess | Image | Radiopaedia.org
| Case 2 imaging pre-and post-surgery. Panels (A, B) show pre-operative …
Autologous Mesenchymal Stem Cells, Applied in a Bioabsorbable Matrix …
Perianal fistula with supra-levatoric abscess | Radiology Case …
[PDF] MR imaging evaluation of perianal fistulas: spectrum of imaging …
My Dog Has a Weird Butt Hole (aka Perianal Fistula) – Smart Dog University
Ultimate Radiology : Grade 3 ( Trans-Sphincteric) Perianal Fistula
Perianal fistula – grade 4: transsphincteric | Radiology Case …
Inter-sphincteric perianal fistulas grade 1. Two fistulas are seen at 3 …
Ultimate Radiology : Grade 3 ( Trans-Sphincteric) Perianal Fistula
Rectovaginal fistula | Image | Radiopaedia.org
Perianal fistula | Image | Radiopaedia.org
Perianal fistula – grade 4: transsphincteric | Radiology Case …
Perianal fistula – grade 4: transsphincteric | Radiology Case …
The Liver and Spleen | Veterian Key
We extend our gratitude for your readership of the article about
pictures of perianal fistulas in dogs at
galleryz.online . We encourage you to leave your feedback, and there’s a treasure trove of related articles waiting for you below. We hope they will be of interest and provide valuable information for you.